Chattanooga, TN, Cosmetic Dentist
If you think of dentistry as just dealing with cavities and root canals, we have some exciting news for you! At Chattanooga Center for Comprehensive Dentistry, cosmetic dentistry plays a key role in helping our patients achieve beautiful, confident smiles.
Cosmetic dentistry focuses on improving the appearance of your teeth to help you achieve the smile you’ve always wanted. Whether you’re in Chattanooga, Dayton, Signal Mountain, or surrounding areas, our cosmetic services offer a range of options designed to enhance your smile and give you the boost in confidence that comes with having a photo-ready grin.
Here are just a few of the popular cosmetic treatments we offer:
Teeth Whitening
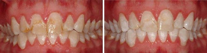
Teeth whitening is one of the simplest and most effective cosmetic dental treatments we offer. Whether you’re looking to brighten your smile for a special occasion or simply want a more confident look, we’re here to help you achieve the smile you deserve with a teeth whitening solution tailored to your needs.
To make this treatment even more convenient, we offer customized options to suit your preferences:
In-Office Teeth Whitening: If you’d like the support of our professional team during the whitening process, our in-office treatment is perfect for you. You can relax while we handle the details.
Take-Home Teeth Whitening Kits: For those who prefer the flexibility of whitening their teeth at home, we provide custom take-home whitening kits along with clear instructions to help you achieve great results.
No matter which option you choose, you’ll enjoy a brighter, more radiant smile in no time!
Invisalign® Clear Braces
Invisalign clear aligners offer a revolutionary approach to achieving a straighter, more confident smile without the inconvenience or appearance of traditional metal braces. This innovative orthodontic solution uses custom-made, virtually invisible aligners to gradually shift teeth into alignment, making it an ideal choice for those seeking discreet cosmetic dental care. With Invisalign, patients can enjoy the freedom to eat, drink, brush, and floss without restrictions, as the aligners are completely removable. This convenience, combined with their comfortable and precise fit, makes Invisalign a standout option for individuals looking to enhance their smile and restore their confidence.
At our practice, we take a personalized approach to Invisalign treatment, ensuring each step is tailored to your unique dental needs. From an initial consultation to assess your smile goals, to creating a customized plan using advanced 3D imaging technology, we provide a clear roadmap for your journey to straighter teeth. Regular progress check-ins with our team help keep your treatment on track, ensuring you achieve optimal results. Whether addressing crowding, gaps, or bite issues, Invisalign offers an effective, hassle-free solution for transforming your smile while keeping your daily routine uninterrupted.
Dental Veneers
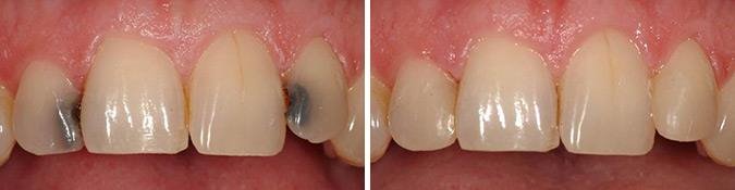
If you have a specific tooth or set of teeth that are stained, discolored, or have imperfections, dental veneers could be the perfect solution for you. Veneers are thin, durable shells that are placed over your natural teeth to protect them, conceal stains, or enhance their appearance.
In addition to masking discoloration, tooth veneers can repair chips, reshape individual teeth, and address other cosmetic concerns. With veneers for teeth, you can achieve a more uniform, natural-looking smile with minimal effort.
Dental Bonding
Dental bonding is a versatile and effective procedure designed to enhance the appearance of your smile. During the bonding process, a tooth-colored resin is carefully applied and hardened to repair or improve the look of your teeth. Whether you’re dealing with decay, chips, or discoloration, dental bonding provides an aesthetic solution that blends seamlessly with your natural teeth.
With dental bonding, you can quickly restore the beauty of your smile and regain your confidence. It’s a simple, efficient treatment that makes a noticeable difference in just one visit to our cosmetic dentist.
Tooth Reshaping
If you have chipped or misshapen teeth, it’s easy to feel self-conscious about your smile. Thankfully, our tooth reshaping services can correct these imperfections and help you feel confident again.
We customize the reshaping process to suit your unique needs, using the most effective methods to address your specific concerns. Whether it’s subtle adjustments or more noticeable changes, we work with you to create the smile you’ve always desired. Once the process is complete, those flaws that once bothered you will be a thing of the past.
Actual Patient Photos
Benefits of Cosmetic Dentistry
Improved Self-Confidence
When dental imperfections like discoloration, stains, misalignment, or gaps between teeth get fixed, your confidence and smile will flourish. This will improve your quality of life, letting you feel confident during social interactions, everyday life, and professional settings.
Enhanced Oral Health
Many people think cosmetic dentistry is just about improving appearance, but it can also strengthen your oral health. For example, with treatments like Invisalign, you not only straighten your teeth but also make brushing and flossing easier, promoting better oral hygiene and overall dental health.
Cosmetic procedures can also address issues like overcrowding and gaps in your teeth, reducing the risk of gum problems and tooth decay. By improving both the function and appearance of your smile, cosmetic dentistry offers lasting benefits for your health and confidence.
Functional Benefits
Cosmetic dentistry offers many functional benefits, including improved ability to chew, speak, and enjoy a wider variety of foods. Treatments like dental implants, dental crowns, and bridges can restore your smile by replacing broken or damaged teeth, allowing you to eat and speak with confidence once again.
A Customized Smile
Our cosmetic dentistry treatments are completely customizable. We can help you design your smile using any combination of cosmetic services. Imagine creating your dream smile from scratch! Whatever imperfections you see when you look in the mirror, we can fix them with a mixture of veneers, crowns, whitening, Invisalign aligners, or dental implants.
Facial Harmony and Rejuvenation
Missing teeth can cause your smile to droop and weaken your smile. When you receive dental implants it stimulates your jaw giving you a youthful look. Cosmetic treatments can enhance your facial features giving you another reason to smile.
Common Issues Where Cosmetic Dentistry Can Help
Cosmetic dentistry has many treatments designed to address different dental imperfections. Some of the issues solved by cosmetic dentistry are:
- Gaps between teeth
- Crooked or misaligned teeth
- Stained or discolored teeth
- Irregular tooth shapes or sizes
- Chipped or cracked teeth
- Short or worn-down teeth
Discover Your New Smile At Chattanooga Center For Comprehensive Dentistry!
Contact us today to learn more about our dazzling cosmetic dental care services or to schedule an appointment! We provide the above cosmetic dentistry services and more to patients all over the Chattanooga area, including Dayton & Signal Mountain.




















